中尾巧晃 Hiroaki NAKAO 加納欣德 Yoshinori KANOH
あいち小児保健医療総合センター 歯科口腔外科




患者:4歳、女児
主訴:歯肉腫脹と出血
既往歴:発達障害、偏食
現病歴:歩行時に両下肢の疼痛が出現し、当センター整形外科を受診。精査加療目的で入院後、右前頭部に硬膜下血腫(図1)が認められ、脳外科にて血腫除去術が施行された。両下肢の疼痛とほぼ同時期より歯肉腫脹と歯磨き時の歯肉出血が認められており、当科受診となった。
現症:辺縁歯肉に発赤、腫脹を認め(図2)、易出血性である。
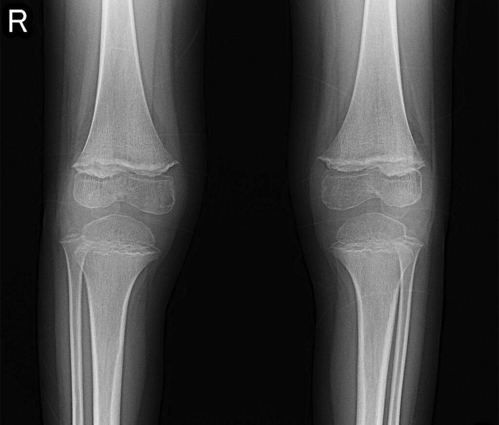
検査所見:手術直前の血液検査結果を表1に、膝関節部の単純X線写真を図3に示す。
Q 最も疑われる疾患名は?

① 歯肉炎
② 白血病
③ 再生不良性貧血
④ 壊血病
\こちらの回答は月刊 デンタルダイヤモンド 2025年5月号に掲載中!/
▽月刊デンタルダイヤモンドのバックナンバーはこちら▽
https://www.dental-diamond.co.jp/list/103
▽診断力てすとのバックナンバーはこちら▽
https://dental-diamond.jp/test.html
![歯科医療従事者のための専門メディア : Dental Diamond[デンタルダイヤモンド]](https://dental-diamond.jp/pages/wp-content/uploads/2022/05/cropped-名称未設定d.png)
























月刊デンタルダイヤモンド誌に長年掲載され、読者の先生方に人気の「Dd診断力てすと」。
今回は2025年5月号より、「子どもの歯肉腫脹と出血」についてです。