有吉靖則 Yasunori ARIYOSHI
市立ひらかた病院 歯科口腔外科


患者:11歳、男児
主訴:右側下顎臼歯部の精査依頼
現病歴:歯科矯正治療を希望し歯科を受診した際の画像検査にて、右側下顎臼歯部の異常像を指摘され、当科を紹介された。
現症:自覚症状はなかったが、右側下顎部にびまん性腫脹を認めた(図1)。右側下唇に知覚異常は認められなかった。口腔内にあきらかな異常所見は認められず、6~4は生活歯であった。
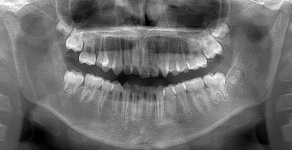
画像所見:右側下顎小臼歯部骨体から下顎枝に至る単房性X線透過像が認められた。境界は歯槽部の一部では比較的明瞭であったが、その他の部位ではあきらかな辺縁硬化像は認められずやや不明瞭であった。歯槽部では槽間中隔に入り込む所見を示し、隣接する歯の歯根吸収、傾斜は認められなかった(図2)。
Q 最も疑われる疾患名は?

① エナメル上皮腫
② 歯原性角化囊胞
③ 単純性骨囊胞
\こちらの回答は月刊 デンタルダイヤモンド 2025年12月号に掲載中!/
▽月刊デンタルダイヤモンドのバックナンバーはこちら▽
https://www.dental-diamond.co.jp/list/103
▽診断力てすとのバックナンバーはこちら▽
https://dental-diamond.jp/test.html
![歯科医療従事者のための専門メディア : Dental Diamond[デンタルダイヤモンド]](https://dental-diamond.jp/pages/wp-content/uploads/2022/05/cropped-名称未設定d.png)
























月刊デンタルダイヤモンド誌に長年掲載され、読者の先生方に人気の「Dd診断力てすと」。
今回は2025年12月号より、「下顎臼歯〜下顎枝部のX線透過像」についてです。