雨河茂樹 Shigeki AMEKAWA
市立池田病院 歯科口腔外科

患者:58歳、女性
主訴:両側舌下面の白色病変
現病歴:2ヵ月前から両側舌下面に白色病変を自覚し、改善がないため近医歯科を受診。精査加療目的に当科を紹介され受診した。
既往歴:慢性糸球体腎炎による腎不全にて42年前より血液透析。副甲状腺機能亢進症、慢性膵炎、びまん性汎細気管支炎、発作性心房細動、手根管症候群
家族歴:特記事項なし
飲酒歴:週2回ワインを1杯程度
喫煙歴:なし
現症:
全身所見;体格やせ型。栄養状態やや不良。
口腔外所見;頸部、肩部の弾性腫瘤、皮膚小腫瘤や褐色斑などは認めなかった。
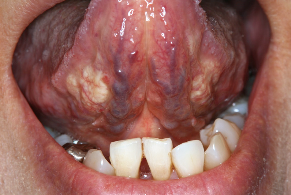
口腔内所見:両側舌下面にほぼ対称性に黄白色不整形な弾性やや硬の腫瘤を認めた(図1)。
血液検査結果:赤血球数329×104/μL、白血球数5,680/μL、血小板数27.1×104/μL、Alb 2.6g/dL、ALT 21IU/L、AST 24IU/L、LDH 286IU/L、BUN 31㎎/dL、CRE 3.53㎎/dL、eGFR 11.2mL/min/L、CRP 0.5㎎/dL。
Q 最も疑われる疾患名は?

① 多発性対称性脂肪腫症(Maderung病)
② 舌神経線維腫(von Recklinghausen病)
③ 慢性硬化性唾液腺炎(Küttner腫瘍)
④ 舌アミロイドーシス
\こちらの回答は月刊 デンタルダイヤモンド 2025年12月号に掲載中!/
▽月刊デンタルダイヤモンドのバックナンバーはこちら▽
https://www.dental-diamond.co.jp/list/103
▽診断力てすとのバックナンバーはこちら▽
https://dental-diamond.jp/test.html
![歯科医療従事者のための専門メディア : Dental Diamond[デンタルダイヤモンド]](https://dental-diamond.jp/pages/wp-content/uploads/2022/05/cropped-名称未設定d.png)
























月刊デンタルダイヤモンド誌に長年掲載され、読者の先生方に人気の「Dd診断力てすと」。
今回は2025年12月号より、「両側舌下面の黄白色腫瘤」についてです。