吉田博昭1) Hiroaki YOSHIDA
磯崎仁志2) Hitoshi ISOZAKI
森田章介1) Shosuke MORITA
1)大阪歯科大学 口腔外科学第一講座
2)京都府・いそざき歯科医院

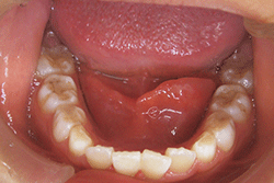
a:左側口底部に腫脹が見られる

b:左側ワルトン管の開口部付近に黄色の腫脹が見られる
図❶ a、b 初診時の口腔内写真

図❷ 初診時のデンタルX線写真
患者:6歳、男児
主訴:左側口底部腫脹
家族歴:特記事項なし
既往歴:特記事項なし
現病歴:2週前から食事のたびに違和感を訴え、昨夜、夕食時に母親が患者の口腔内を見たところ、左側口底部に腫脹を見つけ、近歯科医院を受診し、精査加療目的で当科を紹介受診した。
現症:
全身所見:体格大きめ、栄養状態優良
口腔内所見:左側口底部に20㎜程度の発赤を伴うび漫性腫脹を認め、唾液腺開口部付近の粘膜下に、わずかに黄色を呈する粟粒大の硬固物を認めた(図❶)。
画像所見:歯軸方向での口底部デンタルX線画像では、とくに特異的な所見は認められなかった(図❷)。
Q 最も疑われる疾患名は?
![歯科医療従事者のための専門メディア : Dental Diamond[デンタルダイヤモンド]](https://dental-diamond.jp/pages/wp-content/uploads/2022/05/cropped-名称未設定d.png)





















① 脂肪腫
② 粘液嚢胞
③ 多形腺腫
④ 唾石症