IgG4関連疾患は、血清IgG4高値、IgG4陽性形質細胞の浸潤を特徴とした原因不明の慢性炎症性疾患群である。自己免疫疾患かアレルギー疾患かは明確にはあきらかにされていない。IgG4関連疾患は、あらゆる臓器に線維性腫瘤や肥厚性病変を形成するが、口腔内を発症臓器として位置づけている文献はない。
本症例は、臨床所見および画像所見から悪性腫瘍の可能性が考えられたため、早期に2度の生検を施行したが、確定診断を得ることができなかった。そのため、全身麻酔下で腫瘤の切除生検を立案した。また、頸部リンパ節腫大に関しては、転移の可能性も否定できなかったため、口腔内腫瘤切除と同時に頸部リンパ節摘出術を行う方針とし、術中迅速病理診断の結果によっては頸部郭清術を行うことを計画した。頸部腫瘤の術中迅速病理診断は炎症性リンパ節の所見のみであったため、口腔内腫瘤の摘出手術のみを施行した。摘出にあたっては、悪性腫瘍の切除に準じ、基部から10mmの安全域を設定した。
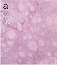
頸部リンパ節の病理組織像は、胚中心を伴う大小のリンパ濾胞の増生を示し、濾胞間には多数の形質細胞と少数の好酸球浸潤が認められ、IgG4/IgG細胞比が40%以上を示した(図❸)。その他、IgG4関連疾患の診断基準をすべて満たしていた。摘出した腫瘤は骨形成性エプーリスの病理診断であったが、線維芽細胞や膠原線維の増生および多数の形質細胞の浸潤が認められた。そのため、IgG4陽性細胞の検討を施行したところ、口腔腫瘤においてもIgG4/IgG細胞比が40%以上を示し、IgG4関連疾患に起因した口腔内病変と考えられた(図❹)。
本症例は、IgG4関連リンパ節症分類に当てはめるとTypeIVに相当する。TypeIVは顎下リンパ節の限局性腫脹から発症し、 局所再発や全身性に線維性腫瘤病変を形成する。今後は、口腔内もIgG4関連疾患の発症臓器として考慮する必要性があると考えられた。これまで、エプーリスに関して、IgG4関連疾患と関係づける報告はない。しかし、エプーリスをはじめとする線維性の口腔内腫瘤の形成を認めた場合は、頸部リンパ節の精査を行い、IgG4関連疾患も念頭においた診査が必要であると考えられる。

a:HE染色により胚中心を伴う大小のリンパ濾胞の増生を示し、濾胞間には多数の形質細胞と少数の好酸球浸潤が認められた

b:免疫染色によりIgG4/IgG細胞比が40%以上を示した
図❸ a、b 頸部リンパ節の病理組織学的所見

a:口腔腫瘤は骨形成性エプーリスの病理診断であったが、HE染色により線維芽細胞や膠原線維の増生および多数の形質細胞の浸潤が認められた

b:免疫染色によりIgG4陽性細胞の検討を施行したところ、IgG4/IgG細胞比が40%以上を示した
図❹ a、b 口腔腫瘤の病理組織学的所見
![歯科医療従事者のための専門メディア : Dental Diamond[デンタルダイヤモンド]](https://dental-diamond.jp/pages/wp-content/uploads/2022/05/cropped-名称未設定d.png)





















4.IgG4関連疾患に起因した線維性腫瘤