神部芳則 Yoshinori JINBU
山下雅子 Masako YAMASHITA
自治医科大学 歯科口腔外科学講座
〒329-0498 栃木県下野市薬師寺3311-1

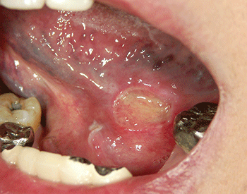
図❶ 左口底部に境界の明瞭な潰瘍を認める
患者:68歳、女性
主訴:舌の痛み
現病歴:約1ヵ月前に左口底部の痛みと、潰瘍を自覚し、かかりつけの歯科医院を受診した。左下臼歯部の義歯の調整とステロイド含有軟膏を処方されて経過観察となったが改善がないため、精査目的に当科に紹介受診した。
既往歴:2年前から関節リウマチの診断で治療が行われていた。内服薬はメトトレキサート(MTX)12mg/週、葉酸5mg/週、プレドニゾロン®、セレコックス®、リマチル®。さらに骨粗鬆症に対してエビスタ®、エディロール®が処方されていた。その他に糖尿病があり、コントロールは良好とのことであった。
現症:左口底部に12x10mm大の疼痛を伴う浅い潰瘍を認めた(図1)。潰瘍面は平坦であり偽膜の形成などはみられず、潰瘍周囲にわずかな隆起がみられたが、硬結は触知しなかった。
主訴:舌の痛み
現病歴:約1ヵ月前に左口底部の痛みと、潰瘍を自覚し、かかりつけの歯科医院を受診した。左下臼歯部の義歯の調整とステロイド含有軟膏を処方されて経過観察となったが改善がないため、精査目的に当科に紹介受診した。
既往歴:2年前から関節リウマチの診断で治療が行われていた。内服薬はメトトレキサート(MTX)12mg/週、葉酸5mg/週、プレドニゾロン®、セレコックス®、リマチル®。さらに骨粗鬆症に対してエビスタ®、エディロール®が処方されていた。その他に糖尿病があり、コントロールは良好とのことであった。
現症:左口底部に12x10mm大の疼痛を伴う浅い潰瘍を認めた(図1)。潰瘍面は平坦であり偽膜の形成などはみられず、潰瘍周囲にわずかな隆起がみられたが、硬結は触知しなかった。
Q 最も疑われる疾患名は?
![歯科医療従事者のための専門メディア : Dental Diamond[デンタルダイヤモンド]](https://dental-diamond.jp/pages/wp-content/uploads/2022/05/cropped-名称未設定d.png)





















① 褥瘡性潰瘍
② 再発性アフタ
③ 薬剤性潰瘍
④ 口底がん