診断のポイント
熱傷は、高温食物の摂取に関する記憶がないことや病変に疼痛がないことから鑑別される。帯状疱疹は、全経過中に水疱形成が認められないことや疼痛がないことから鑑別可能である。表在性の扁平上皮がんとの鑑別が重要となる。後方視的には、病変の一部に黒色の色素沈着を認めることや、周囲に衛星病巣を認めることから鑑別される。
経過
初診時の臨床所見から、悪性黒色腫、扁平上皮がんが疑われ、また頸部リンパ節腫大を認めたため、まず画像検査を行った。CTでは口蓋部にあきらかな病変は認められなかったが、右側頸部には多発性のリンパ節腫大を認めた。
PET-CTでは右側口蓋部および頸部にFDGの異常集積を認めた(図❷)。画像検査後に行った生検で悪性黒色腫と診断されたので、治療は高次医療機関に依頼したが、受診は中断され、以後の経過は不明となった。
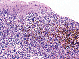
生検標本の病理
淡好酸性の胞体を有する腫瘍細胞が上皮直下から粘膜下層深部に小胞巣状・索状に増殖・浸潤している。胞体内にはメラニン顆粒を認め、核は類円形、卵円形、多角形で大小不同を伴い、大型で明瞭な核小体もみられる(図❸)。免疫染色で腫瘍細胞はS-100およびHMB-45陽性、LCA陰性を示した。
悪性黒色腫はメラニン産生細胞に由来する悪性腫瘍であり、皮膚の他に粘膜、眼球、稀に神経系組織や消化器に発生する。
臨床的に、腫瘍は無痛性で黒褐色ないし黒青色で、軽度の膨隆や結節あるいは凹凸不整を呈する。潰瘍を形成すると易出血性となるが、硬結はほとんど認められない。また、腫瘍の周囲には黒色の色素沈着病変(衛星病巣)を伴うことも多い。転移はリンパ行性・血行性に生じ、転移は早期に認められる。
確定診断には病理組織検査が必要であるが、臨床的に本腫瘍が疑われる場合には侵襲性の低い細胞診を優先し、綿密な治療計画立案後に生検が行われる。鑑別疾患としては、色素性母斑、アマルガムなどの異物沈着症が挙げられる。
口腔悪性黒色腫に対しては、外科切除が行われる。加えて薬物療法、免疫療法および放射線治療が行われる。近年では重粒子線治療や免疫チェックポイント阻害薬や分子標的治療薬が注目されている。局所再発の他、早期の肺、肝、骨などへの遠隔転移やリンパ節転移が多く予後は不良で、5年生存率は20%程度である。

図❷ PET-CT像

図❸ 病理組織像(H-E染色、×100)
![歯科医療従事者のための専門メディア : Dental Diamond[デンタルダイヤモンド]](https://dental-diamond.jp/pages/wp-content/uploads/2022/05/cropped-名称未設定d.png)





















4.悪性黒色腫