化膿性肉芽腫は、皮膚や粘膜に生じる易出血性の隆起性病変であり、口腔領域も好発部位の1つとされている。
かつては化膿性の微生物感染が原因と考えられていたが、口腔内における誘因としては外傷の既往、歯牙鋭縁、歯石沈着、歯牙の不良充填物、残歯、歯ブラシ、咬傷などの慢性刺激が挙げられ、慢性刺激に対し、局所の血管が増殖する反応性増殖物である。
口腔内の好発部位は歯肉が最も多く、次いで口唇、舌、頬粘膜、口蓋とされており、臨床症状は、一般に単発性、球状ないし茸状に隆起した有茎性腫瘤としてみられ、潰瘍、びらんを伴い、無痛性・易出血性に急速増大するため、悪性腫瘍との鑑別が重要である。
治療方法は、電気焼灼法、電気凝固法、放射線療法、凍結外科療法などがあるが、根本的には周囲健常組織を含めた外科的切除が基本とされている。 組織学的には3型に分類され、I型は血管腫の組織からなるもの、II型は表層が肉芽組織で深部に血管腫の組織からなるもの、III型は肉芽組織のみからなるものとされている。
また、病理組織学的所見としては、表面が重層扁平上皮に覆われ、一部潰瘍化、炎症性滲出物に覆われることもあり、粘膜下組織には、多核白血球、リンパ球、形質細胞の滲出を伴った肉芽腫形成が認められ、毛細血管の増殖と拡張がみられるとされている。
本症治療に関しては、アズレンスルホン酸ナトリウム水和物による含嗽やトラネキサム酸内服、抗菌薬内服での症状変化なく、生検において悪性が否定されていたので外科的切除を行った。病因に関しては、半年前に抜歯した智歯による誤咬が慢性刺激として誘因となったことが示唆される。
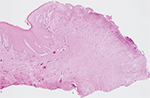
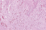
病理組織診断より、表面の1/2に潰瘍形成を認め、潰瘍底も含め、上皮下粘膜固有層~横紋筋層内~横紋筋層を超える軟部組織に、多数の毛細血管が増生し、組織球反応が顕著との診断を得ているので、組織学的分類II型タイプの化膿性肉芽腫と診断できる(図3)。
切除マージン5mmで本症例は切除したが、切除が不十分だと再発を認めることもあるので、今後も注意深い経過観察が必要と考えられた。

a:弱拡大

b:強拡大
図❸ 摘出物病理組織像
![歯科医療従事者のための専門メディア : Dental Diamond[デンタルダイヤモンド]](https://dental-diamond.jp/pages/wp-content/uploads/2022/05/cropped-名称未設定d.png)





















2.化膿性肉芽腫