類皮嚢胞は全身に生じ、その30~40%が頭頸部領域に発生するとされる。頭頸部での好発部位は上眼瞼で、次いで口底部が多い。胎生期の成長突起の癒合時に外胚葉組織が嵌入することによって生じるといわれており、先天性のものが多いが、発育が緩徐なために発症年齢は20~30歳代となる。
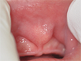
本症例では、当初は先天性唾液腺瘻が上口唇正中に生じたものと診断し、児の成長を待機してからの瘻孔切除を予定していた。しかし初診後6ヵ月に、小孔の裏面に相当する上顎口腔前庭部に小指頭大の弾性軟の腫瘤が出現した(図❷)。MRI検査によってT2強調画像で上口唇正中に境界明瞭で類円形の高信号領域を認め(図❸)、超音波検査では同部には内部にやや不均一な液状の内容物を含む嚢胞状の構造を認めた。病変からは皮膚表面へ向かう管状の構造を認めた(図❹)。
以上の所見から類皮嚢胞と診断し、初診から10ヵ月後に全身麻酔下で嚢胞摘出術を施行した。上顎口腔前庭を切開し鈍的に剥離を進めると、弾性軟で乳白色の病変を認めた。周囲組織との癒着は認めなかった。病変の皮膚側には索状の構造物が上口唇の小孔まで連続していた(図❺)。上口唇小孔周囲の皮膚まで一塊として病変の摘出を行った。内容物はクリーム状で(図❻)、病理診断は汗腺や皮脂腺を有する角化重層扁平上皮に裏装された類皮嚢胞であった(図❼)。
摘出後の治癒経過は良好であり、現在まで再発の所見は認めない。

図❷ 初診後6ヵ月で口腔前庭に出現した腫瘤

図❸ MR画像(T2強調)。類円形、境界明瞭の高信号領域

図❹ 超音波像。上方が上口唇皮膚表面。矢印に表層へと連続する管状構造を示す

図❺ 術中所見。腫瘤本体から上口唇の小孔へと索状構造が存在した

図❻ 摘出物

図❼ H-E染色
![歯科医療従事者のための専門メディア : Dental Diamond[デンタルダイヤモンド]](https://dental-diamond.jp/pages/wp-content/uploads/2022/05/cropped-名称未設定d.png)





















3.類皮嚢胞