神経鞘腫は、神経鞘のSchwann細胞に由来する良性腫瘍である。
臨床所見
舌、頬粘膜および口底などの軟組織に好発し、弾性軟の腫瘤として認められる。一般的には被膜に覆われ充実性であるが、嚢胞状を呈することもある。
画像所見
稀に顎骨中心性に発生することもあり、単房性あるいは多房性の境界明瞭なX線透過像を示す。下顎管の拡大を伴うこともある。
軟組織に発生した場合には、MRIでT1強調像では低信号、T2強調像では高信号を呈する境界明瞭な病変として観察される。
病理所見
錘形の腫瘍細胞が束状に増殖し、腫瘍細胞の核が柵状に配列(palisading pattern)するAntoni A型と、粘液変性や嚢胞形成などがみられるAntoni B型に分類される。臨床的には両者が混在している症例が多い。
治療
被膜を有しているため、周囲組織との剥離も容易で、摘出術が選択されることがほとんどである。
処置および経過
全身麻酔下にて腫瘍摘出術を施行。腫瘍は舌表層直下にあり、境界は明瞭で、周囲組織との癒着はなく、剥離は容易であった(図❸❹)。
病理組織検査
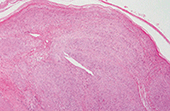
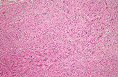
境界明瞭な線維性被膜で囲まれた腫瘍で、紡錘形の腫瘍細胞の増生が見られ、柵状配列および粘液変性を伴っていた(図❺a、b)。

図❸ 術中写真

図❹ 摘出物


図❺ 神経鞘腫、病理組織写真。比較的境界明瞭な線維性被膜で被覆された腫瘍(a)で、紡錘形の腫瘍細胞の増生が認められ、いわゆるpalisading pattern(Antoni A型)および粘液変性を伴っている(b)。あきらかな壊死や核分裂像は認めない
![歯科医療従事者のための専門メディア : Dental Diamond[デンタルダイヤモンド]](https://dental-diamond.jp/pages/wp-content/uploads/2022/05/cropped-名称未設定d.png)





















1.神経鞘腫