長谷剛志 Takashi HASE
公立能登総合病院 歯科口腔外科



患者:70歳、男性
主訴:左側頰粘膜のしこり
現病歴:10歳でWilson病を発症し、11歳から55歳までの44年間、D-ペニシラミン(メタルカプターゼ®)を内服していた。その後、塩酸トリエンチン(メタライト®250)に薬剤を変更し、内服を継続していた。
約1ヵ月前より左側頰粘膜の結節を自覚したため近歯科医院を受診し、精査・加療目的にて当院紹介となった。
家族歴:患者の姉、Wilson病
既往歴:特記事項なし
内服薬:塩酸トリエンチン(メタライト®250)
アレルギー:なし
現症:
全身所見;身長154㎝、体重45㎏、BMI18.9(普通体重)。顔貌は左右対称。体温は36.5℃で全身倦怠感なし。所属リンパ節に腫脹および圧痛は認めなかった。頭部、上下顎部、ならびに頸部の皮膚に異常所見は認めなかった。
口腔所見;左側頰粘膜に約6×7mm大の白色結節を認めた(図1)。触診にて弾性やや硬の隆起性病変であり、圧痛は認めなかった。上下顎に部分床義歯を装着していた。
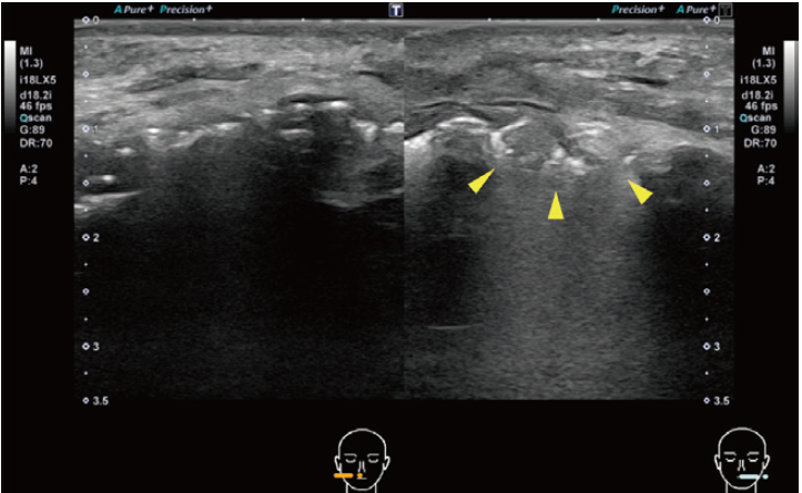
画像所見:US所見;左頰粘膜は対側に比してわずかに腫脹がみられた(図2)。
血液検査所見:赤血球は353×104/μL、ヘモグロビンは10.7g/μL、ヘマトクリットは32.7%と軽度の貧血を認めた。尿素窒素は25mg/dL、Crは1.69mg/dLと軽度の腎機能障害を認めた。また、Cuは12mEq/L、Znは45mEq/Lと低値を認めた(表1)。
Q 最も疑われる疾患名は?

① 線維腫
② 咬傷
③ 頰粘膜がん
④ 蛇行性穿孔性弾力線維症
\こちらの回答は月刊 デンタルダイヤモンド 2025年11月号に掲載中!/
▽月刊デンタルダイヤモンドのバックナンバーはこちら▽
https://www.dental-diamond.co.jp/list/103
▽診断力てすとのバックナンバーはこちら▽
https://dental-diamond.jp/test.html
![歯科医療従事者のための専門メディア : Dental Diamond[デンタルダイヤモンド]](https://dental-diamond.jp/pages/wp-content/uploads/2022/05/cropped-名称未設定d.png)
























月刊デンタルダイヤモンド誌に長年掲載され、読者の先生方に人気の「Dd診断力てすと」。
今回は2025年11月号より、「Wilson病患者にみられた頰粘膜のしこり」についてです。