城代 英俊 Hidetoshi JOHDAI
小笠原 健文 Takefumi OGASAWARA
町田市民病院 歯科・歯科口腔外科
〒194-0023 東京都町田市旭町2-15-41

図❶ 初診時のパノラマX線写真

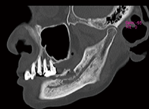
図❷ 初診時のCT画像(矢状断)

図❸ 骨シンチグラム。初診時(左)、腐骨分離後(右)
患者:82歳、女性
主訴:7抜歯後治癒不全
既往歴:乳がん
家族歴:特記事項なし
現病歴:3ヵ月前に歯科医院にて抜歯。その後、治癒不全にて当科を紹介され、来院。
現症:栄養状態良好
口腔内所見:左側頬部にびまん性の腫脹を認める。抜歯窩周囲歯肉の腫脹および排膿を認める。抜歯窩から骨の一部が触知された。
血液検査: 白血球数 9.2×103/μL、好中球数 6,300/μL、CRP 5.2mg/dL
画像検査: パノラマX線写真にて、抜歯窩に腐骨様不透過像の分離を認める(図❶)。CTにて、抜歯窩相当部位に炎症性透過像と腐骨様不透過像の分離を認める(図❷)。
核医学検査:骨シンチグラフィー(99m-Tc-MDP)にて、左側下顎にびまん性の集積を認める(図❸)。
主訴:7抜歯後治癒不全
既往歴:乳がん
家族歴:特記事項なし
現病歴:3ヵ月前に歯科医院にて抜歯。その後、治癒不全にて当科を紹介され、来院。
現症:栄養状態良好
口腔内所見:左側頬部にびまん性の腫脹を認める。抜歯窩周囲歯肉の腫脹および排膿を認める。抜歯窩から骨の一部が触知された。
血液検査: 白血球数 9.2×103/μL、好中球数 6,300/μL、CRP 5.2mg/dL
画像検査: パノラマX線写真にて、抜歯窩に腐骨様不透過像の分離を認める(図❶)。CTにて、抜歯窩相当部位に炎症性透過像と腐骨様不透過像の分離を認める(図❷)。
核医学検査:骨シンチグラフィー(99m-Tc-MDP)にて、左側下顎にびまん性の集積を認める(図❸)。
Q 最も疑われる疾患名は?
![歯科医療従事者のための専門メディア : Dental Diamond[デンタルダイヤモンド]](https://dental-diamond.jp/pages/wp-content/uploads/2022/05/cropped-名称未設定d.png)





















① 下顎隆起
② 下顎骨嚢胞
③ 下顎骨骨髄炎
④ 線維性骨異形成症