鶴巻 浩 Hiroshi TSURUMAKI
社会医療法人仁愛会 新潟中央病院 歯科口腔外科
〒950-8556 新潟県新潟市中央区新光町1-18



図❶ 初診時、口腔内写真
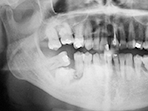
図❷ 初診時、パノラマX線写真
図❸ 初診時、軸位断CT
患者:55歳、女性
主訴:右下顎の腫脹
現病歴:20年前、某歯科でう蝕治療を行った際、6の埋伏を指摘され、大学病院への受診を勧められたが、症状なく放置した。初診1ヵ月前、右下顎部に腫脹、疼痛を生じ、かかりつけ歯科を受診し、セフジトレンピボキシル300mg/dayを6日間処方され改善した。今回、精査加療を目的に当科を紹介され、受診した。 なお、7、8歳ごろに下顎前突があり、口腔内装置を約3ヵ月間装着し、改善したというエピソードがある。また、右顔面部に外傷の既往はない。
初診時現症:
全身所見:体温36.4℃
口腔外所見:右側下顎部~顎下部にかけて発赤、腫脹を認めた。
口腔内所見:7~4相当頬側歯肉に軽度の発赤、腫脹、圧痛を認めた。7は著明に近心傾斜し、6は口腔内には直接みえなかった。7は動揺著明で、歯周ポケットより血性膿の排出がみられた(図❶)。
パノラマX線写真所見:6相当骨体部に、不整形な粒状~突起状の石灰化物を伴う6と考えられる歯牙様不透過像を認めた(図❷)。
CT所見:軸位断では6部に不整形の塊状石灰化物を認め、周囲には帯状の透過像がみられ、その中に粒状の小石灰化像が散在していた。周囲の骨には硬化性変化がみられる(図❸)。
Q 最も疑われる疾患名は?
![歯科医療従事者のための専門メディア : Dental Diamond[デンタルダイヤモンド]](https://dental-diamond.jp/pages/wp-content/uploads/2022/05/cropped-名称未設定d.png)





















① 埋伏歯
② 低位歯
③ 歯牙腫