小笠原健文 Takefumi OGASAWARA
町田市民病院 歯科・歯科口腔外科
〒194-0023 東京都町田市旭町2-15-41

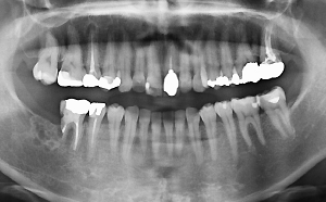
図❶ 初診時のパノラマX線写真

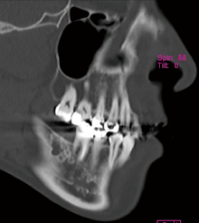
図❷ 初診時のCT画像(矢状断)
患者:30歳、女性
主訴:右側下顎の違和感
既往歴:特記事項なし
家族歴:特記事項なし
現病歴:約2ヵ月前から右側下顎に違和感を生じていたが、疼痛などの症状はないため、そのまま放置した。約2週間前に同部の違和感が増強し、軽度疼痛を認めたため、歯科医院を受診し、X線にて下顎骨に異常所見を指摘された。精査加療目的に当科を紹介され、来院した。
22年前に某大学附属病院口腔外科にて同部の手術を行っており、下顎骨嚢胞の診断であった。また、15年前に再発し、同病院で再手術を施行したものの、診断名は不明であった。
現症:体格中等度、栄養状態は良好であった。右側頬部に腫脹はなかった。また、欠損した7部歯肉に発赤、腫脹などの炎症所見および知覚鈍麻はなかったが、軽度圧痛を認めた。
血液検査:特記すべき所見はなかった。
画像所見:パノラマX線写真では、欠損した7部骨内に、多房性、泡沫状の透過像を認め、6の遠心根は吸収していた(図❶)。CT画像では同部に細かい泡沫状の隔壁を有しており、内部に石灰化像はなかった。境界は比較的明瞭で、周囲への浸潤は認めなかった。また、下歯槽神経には近接していなかった(図❷)。
主訴:右側下顎の違和感
既往歴:特記事項なし
家族歴:特記事項なし
現病歴:約2ヵ月前から右側下顎に違和感を生じていたが、疼痛などの症状はないため、そのまま放置した。約2週間前に同部の違和感が増強し、軽度疼痛を認めたため、歯科医院を受診し、X線にて下顎骨に異常所見を指摘された。精査加療目的に当科を紹介され、来院した。
22年前に某大学附属病院口腔外科にて同部の手術を行っており、下顎骨嚢胞の診断であった。また、15年前に再発し、同病院で再手術を施行したものの、診断名は不明であった。
現症:体格中等度、栄養状態は良好であった。右側頬部に腫脹はなかった。また、欠損した7部歯肉に発赤、腫脹などの炎症所見および知覚鈍麻はなかったが、軽度圧痛を認めた。
血液検査:特記すべき所見はなかった。
画像所見:パノラマX線写真では、欠損した7部骨内に、多房性、泡沫状の透過像を認め、6の遠心根は吸収していた(図❶)。CT画像では同部に細かい泡沫状の隔壁を有しており、内部に石灰化像はなかった。境界は比較的明瞭で、周囲への浸潤は認めなかった。また、下歯槽神経には近接していなかった(図❷)。
Q 最も疑われる疾患名は?
![歯科医療従事者のための専門メディア : Dental Diamond[デンタルダイヤモンド]](https://dental-diamond.jp/pages/wp-content/uploads/2022/05/cropped-名称未設定d.png)





















① エナメル上皮腫
② 歯根嚢胞
③ 下顎骨中心性がん
④ 歯原性粘液腫