柴田隆文1) 松本聖武1) 前原利彦1)
小林洋輔2) 森 悦秀2)
Takafumi SHIBATA Seibu MATSUMOTO Toshihiko MAEHARA
Yosuke KOBAYASHI Yoshihide MORI
1) 福岡県・御笠川デンタルクリニックヒカリ 2) 九州大学病院 顔面口腔外科

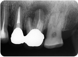
図❶ 初診時のデンタルX線画像
患者:72歳、女性
主訴:就寝時に左奥歯に鈍い痛みを感じることがある。最近、左側の顔を洗うとビリっと痛みが走ることがある。
現病歴:2年ほど前に6の歯内治療、歯冠修復を行った。その後、とくに問題なく経過したが、2週間前より就寝時に6部の違和感を認めた。その後、徐々に摂食が困難になってきた。数日前からは、起床後の洗顔時に左側顔面に電撃様疼痛を認めたため、精査目的に当院を受診した。
現症:体格痩せ型、栄養状態良好。顔面左側頬部の三叉神経第Ⅱ枝領域に、軽度知覚鈍麻を認める。
口腔内所見:6に打診痛(+)、根尖部にびまん性の腫脹と圧痛を認める。周囲組織に波動・硬結・出血などの所見は認めない。所属リンパ節に腫脹や圧痛は認めない。
口腔内所見:6に打診痛(+)、根尖部にびまん性の腫脹と圧痛を認める。周囲組織に波動・硬結・出血などの所見は認めない。所属リンパ節に腫脹や圧痛は認めない。
歯髄診査:567生活反応なし
パノラマX線写真:6尖部に破折リーマーと考えられる不透過像あり。同部に、根尖を含むφ4㎜程度の透過像を認める。
既往歴:特記事項なし
主訴:就寝時に左奥歯に鈍い痛みを感じることがある。最近、左側の顔を洗うとビリっと痛みが走ることがある。
現病歴:2年ほど前に6の歯内治療、歯冠修復を行った。その後、とくに問題なく経過したが、2週間前より就寝時に6部の違和感を認めた。その後、徐々に摂食が困難になってきた。数日前からは、起床後の洗顔時に左側顔面に電撃様疼痛を認めたため、精査目的に当院を受診した。
現症:体格痩せ型、栄養状態良好。顔面左側頬部の三叉神経第Ⅱ枝領域に、軽度知覚鈍麻を認める。
口腔内所見:6に打診痛(+)、根尖部にびまん性の腫脹と圧痛を認める。周囲組織に波動・硬結・出血などの所見は認めない。所属リンパ節に腫脹や圧痛は認めない。
口腔内所見:6に打診痛(+)、根尖部にびまん性の腫脹と圧痛を認める。周囲組織に波動・硬結・出血などの所見は認めない。所属リンパ節に腫脹や圧痛は認めない。
歯髄診査:567生活反応なし
パノラマX線写真:6尖部に破折リーマーと考えられる不透過像あり。同部に、根尖を含むφ4㎜程度の透過像を認める。
既往歴:特記事項なし
Q 最も疑われる疾患名は?
![歯科医療従事者のための専門メディア : Dental Diamond[デンタルダイヤモンド]](https://dental-diamond.jp/pages/wp-content/uploads/2022/05/cropped-名称未設定d.png)





















① 67部歯根嚢胞
② 左側歯性上顎洞炎
③ 左側上顎腫瘍性病変