山下佳雄 Yoshio YAMASHITA
佐賀大学医学部 歯科口腔外科学講座
〒849-8501 佐賀県佐賀市鍋島5-1-1

図❶ 右第2、4指爪の角化の亢進

図❷ 両側頬粘膜や左側口角部にレース状の白色病変

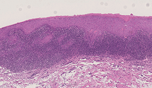
図❸ 生検病理組織像(H-E染色)
患者:58歳、男性
主訴:口腔内の白色病変の精査
家族歴・既往歴:特記事項なし
アレルギー歴:特記事項なし
現病歴:2018年4月ごろより手指爪の粗造化を自覚し、近病院皮膚科を受診。診察時に両側頬粘膜にも白色病変を認めたため、同年5月、精査・加療目的に当科紹介受診となった。
現症:体格中等度、栄養状態良好
口腔外所見:右第2、4指爪に角化亢進を認め、左第3、4、5指爪の表面も粗造化していた(図❶)。
口腔内所見:両側頬粘膜、歯肉頬移行部および左側口角部に白色病変を認めた(図❷)。左側頬粘膜の病変は、上顎智歯との接触を認めた。病変はいずれも軽度の接触痛を自覚するものの、症状は軽度であった。
血液所見:特記事項なし。
細菌検査:分離菌は常在菌と推定される菌腫のみで、真菌は認められなかった。
病理組織学的所見:病変部(左側頬粘膜)の生検を施行したところ、過錯角化を伴う棘細胞層の肥厚と上皮下の帯状リンパ球浸潤がみられ、異型細胞は認めなかった(図❸)。
主訴:口腔内の白色病変の精査
家族歴・既往歴:特記事項なし
アレルギー歴:特記事項なし
現病歴:2018年4月ごろより手指爪の粗造化を自覚し、近病院皮膚科を受診。診察時に両側頬粘膜にも白色病変を認めたため、同年5月、精査・加療目的に当科紹介受診となった。
現症:体格中等度、栄養状態良好
口腔外所見:右第2、4指爪に角化亢進を認め、左第3、4、5指爪の表面も粗造化していた(図❶)。
口腔内所見:両側頬粘膜、歯肉頬移行部および左側口角部に白色病変を認めた(図❷)。左側頬粘膜の病変は、上顎智歯との接触を認めた。病変はいずれも軽度の接触痛を自覚するものの、症状は軽度であった。
血液所見:特記事項なし。
細菌検査:分離菌は常在菌と推定される菌腫のみで、真菌は認められなかった。
病理組織学的所見:病変部(左側頬粘膜)の生検を施行したところ、過錯角化を伴う棘細胞層の肥厚と上皮下の帯状リンパ球浸潤がみられ、異型細胞は認めなかった(図❸)。
Q 最も疑われる疾患名は?
![歯科医療従事者のための専門メディア : Dental Diamond[デンタルダイヤモンド]](https://dental-diamond.jp/pages/wp-content/uploads/2022/05/cropped-名称未設定d.png)





















① 急性骨髄性白血病
② 口腔扁平苔癬
③ 壊血病
④ 天疱瘡