里見貴史 Takafumi SATOMI
日本歯科大学生命歯学部 口腔外科学講座
〒102-8159 東京都千代田区富士見1-9-20

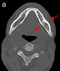
図❶ 初診時のパノラマX線写真

a:下顎骨C

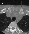
b:鎖骨CT

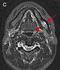
c:MRI、STIR
図❷ CT画像では、左側下顎骨体部と左側鎖骨胸骨端の骨髄にhigh density areaを認める。MRI画像で同部の骨髄は、STIRで高信号を呈する
患者:47歳、男性
主訴:左下顎の疼痛
現病歴:左側下顎臼歯部の疼痛で、かかりつけ歯科医院を受診した。4歯髄炎の診断で抜髄処置が施行されたが、その後も強い疼痛が持続するため、精査・加療目的で当科を紹介され受診した。
現症:
全身所見:体格中等度、栄養状態良好、疼痛による睡眠障害を認めた。顔貌は左右対称で、発赤、腫脹などは認められず、オトガイ神経麻痺も認められなかった。
口腔内所見:4~7に打診痛や動揺はなく、また、周囲歯肉に発赤、腫脹、圧痛も認められなかった。
血液検査所見:特記すべき所見なし
画像所見:パノラマX線写真では、67部の下顎骨体部に淡いすりガラス様のX線不透過像が認められた(図❶)。CT画像では、左側下顎骨体部の骨髄に high density area を認め、また、左側鎖骨胸骨端にも同様の像が認められた。MRI画像で同部の骨髄は、T1W1で低信号、STIRで高信号を呈していた(図❷)。
経過:初診時より、左側下顎の疼痛に対して抗菌薬とNSAIDsを投与したが、疼痛が徐々に増大したため、オピオイドを追加投与した。
主訴:左下顎の疼痛
現病歴:左側下顎臼歯部の疼痛で、かかりつけ歯科医院を受診した。4歯髄炎の診断で抜髄処置が施行されたが、その後も強い疼痛が持続するため、精査・加療目的で当科を紹介され受診した。
現症:
全身所見:体格中等度、栄養状態良好、疼痛による睡眠障害を認めた。顔貌は左右対称で、発赤、腫脹などは認められず、オトガイ神経麻痺も認められなかった。
口腔内所見:4~7に打診痛や動揺はなく、また、周囲歯肉に発赤、腫脹、圧痛も認められなかった。
血液検査所見:特記すべき所見なし
画像所見:パノラマX線写真では、67部の下顎骨体部に淡いすりガラス様のX線不透過像が認められた(図❶)。CT画像では、左側下顎骨体部の骨髄に high density area を認め、また、左側鎖骨胸骨端にも同様の像が認められた。MRI画像で同部の骨髄は、T1W1で低信号、STIRで高信号を呈していた(図❷)。
経過:初診時より、左側下顎の疼痛に対して抗菌薬とNSAIDsを投与したが、疼痛が徐々に増大したため、オピオイドを追加投与した。
Q 最も疑われる疾患名は?
![歯科医療従事者のための専門メディア : Dental Diamond[デンタルダイヤモンド]](https://dental-diamond.jp/pages/wp-content/uploads/2022/05/cropped-名称未設定d.png)





















① 三叉神経痛
② 転移性腫瘍
③ 線維性異形成症
④ 急性下顎骨骨髄炎