三浦桂一郎1) Kei-ichiro MIURA 朝比奈 泉1) Izumi ASAHINA
澤山 靖2) Yasushi SAWAYAMA
1) 長崎大学大学院 医歯薬学総合研究科 顎口腔再生外科学分野
2) 長崎大学 原爆後障害医療研究所 血液内科学研究分野

図❶ 下顎右側臼後部舌側歯肉、ならびに
65歯間乳頭部に一部壊死化した組織を認めた

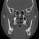
図❷ 右下大臼歯部に骨の異常所見はあきらかではなかった

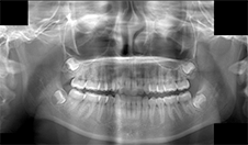
図❸ 右下智歯部に骨の異常所見はあきらかではなかった
患者:16歳、女性
初診:2018年3月
主訴:下顎右側臼後部歯肉の発赤、腫脹
現病歴:2018年3月上旬に下顎右側臼後部舌側歯肉の発赤ならびに腫脹を自覚したため近医歯科を受診し、経過観察となった。翌日には腫脹感は上顎にまで拡大した。さらに1週間後に夜間不眠、全身倦怠感、発熱を認めるようになったため、精査依頼で当科に紹介となった。
既往歴:特記事項なし
家族歴:特記事項なし
現症:
全身所見:受診時血圧111/55mmHg、心拍数105/min、体温38.2℃。意識障害なし、黄疸なし、咽頭部発赤なし。
口腔内所見:下顎右側臼後部に限局した接触痛を伴う歯肉腫脹を認めた。下顎右側臼後部舌側ならびにrd65歯間乳頭部に一部壊死組織を認めた。壊死組織の周囲に硬結は触知せず、あきらかな排膿所見は認めなかった(図❶)。
初診時血液検査(基準値):白血球数21,000/μL(3,300-8,600)、芽球87%(通常検出されず)、ヘモグロビン5.6mg/dL(11.6-14.8)、血小板数28,000/μL(158,000-348,000)、CRP7.34mg/dL(0.00-0.14)
画像所見:パノラマX線写真とCT画像で顎骨ならびに歯に異常所見は認めなかった(図❷❸)。
初診:2018年3月
主訴:下顎右側臼後部歯肉の発赤、腫脹
現病歴:2018年3月上旬に下顎右側臼後部舌側歯肉の発赤ならびに腫脹を自覚したため近医歯科を受診し、経過観察となった。翌日には腫脹感は上顎にまで拡大した。さらに1週間後に夜間不眠、全身倦怠感、発熱を認めるようになったため、精査依頼で当科に紹介となった。
既往歴:特記事項なし
家族歴:特記事項なし
現症:
全身所見:受診時血圧111/55mmHg、心拍数105/min、体温38.2℃。意識障害なし、黄疸なし、咽頭部発赤なし。
口腔内所見:下顎右側臼後部に限局した接触痛を伴う歯肉腫脹を認めた。下顎右側臼後部舌側ならびにrd65歯間乳頭部に一部壊死組織を認めた。壊死組織の周囲に硬結は触知せず、あきらかな排膿所見は認めなかった(図❶)。
初診時血液検査(基準値):白血球数21,000/μL(3,300-8,600)、芽球87%(通常検出されず)、ヘモグロビン5.6mg/dL(11.6-14.8)、血小板数28,000/μL(158,000-348,000)、CRP7.34mg/dL(0.00-0.14)
画像所見:パノラマX線写真とCT画像で顎骨ならびに歯に異常所見は認めなかった(図❷❸)。
Q 最も疑われる疾患名は?
![歯科医療従事者のための専門メディア : Dental Diamond[デンタルダイヤモンド]](https://dental-diamond.jp/pages/wp-content/uploads/2022/05/cropped-名称未設定d.png)





















① 白血病
② 含歯性嚢胞
③ 下顎歯肉がん
④ 下顎智歯周囲炎