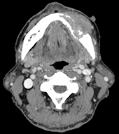
歯肉癌の検査(診断)方法は、画像検査および病理検査である。そのうち、おもな画像検査は、単純X線検査、CT検査、MRI検査、PET検査である(図❷~❹)。また、病理検査は細胞診検査および病理組織検査である(図❺)。治療方法は、外科的切除が一般的である(図❻)。
歯科診療所では、臨床所見および単純X線撮影、あるいは歯科用コーンビームCT撮影による画像検査により病変の推定診断が行われることが多い。
歯肉癌の発育様式は、大きく表在型、外向型、内向型に分類される。内向型は表在型および外向型と比較して、腫瘍本体と周囲正常組織との鑑別が困難である。本症例の発育様式は内向型の腫瘍であり、重度の慢性歯周炎を合併していた。そのため、このような症例では正常組織だけではなく、炎症性病変との鑑別も必要となる。下唇の知覚麻痺は下歯槽神経への腫瘍浸潤による症状であるが、神経麻痺は骨髄炎でも生じる症状である。さらに、骨髄炎の画像所見も多彩であるため、歯肉癌の骨浸潤との鑑別が困難な症例も多い。しかし、高度な局所的な骨吸収像は、悪性腫瘍を疑う必要がある。とくに、本症例のように口腔衛生状態の悪い症例では、腫瘍による骨破壊像も、炎症性病変による骨吸収像であるとの“思い込み”が生じる可能性があるため注意が必要である。
病理検査については、検査が行える歯科診療所であっても、悪性腫瘍が疑われる症例では細胞診検査にとどめ、病理組織検査(切開生検)は腫瘍の発育が促進される危険があるため行うべきではない。


図❸ 下顎左側歯肉部から下顎骨にかけて、骨破壊を伴う腫瘤形成を認める

図❹ FDG-PET/CT画像
下顎左側の骨破壊を伴う軟部腫瘤に、高集積(SUVmax18.9)を認める

図❺ 病理組織画像
HE染色 原倍率×200 Scale bar=100μm。扁平上皮類似の異型細胞集団が粘膜上皮下に浸潤増殖している

a:切除創部写真

b:切除物写真
図❻ 腫瘍は、腫瘍周囲組織および頸部郭清組織とともに一塊切除されている
![歯科医療従事者のための専門メディア : Dental Diamond[デンタルダイヤモンド]](https://dental-diamond.jp/pages/wp-content/uploads/2022/05/cropped-名称未設定d.png)





















2.歯肉癌(扁平上皮癌)