井筒崇司1) 千葉雅俊2) 濱本宜興1)
Takashi IZUTSU Masatoshi CHIBA Yoshioki HAMAMOTO
1) 山形県立中央病院 歯科口腔外科
2) 東北大学大学院歯学研究科 口腔病態外科学講座 顎顔面・口腔外科学分野

図❶ 初診時のMR画像(左側顎関節部矢状断)

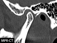
図❷ 初診時のCT画像(左側顎関節部矢状断)
患者:50歳代、女性
主訴:左側顎関節の開口時および咀嚼時の痛み
既往歴:徐脈、貧血
現病歴:初診2ヵ月前より左顎関節部の咀嚼時疼痛を自覚し、紹介医を受診。顎関節症の疑いにて、精査加療目的に当科紹介となった。
現症:全身状態は良好。最大開口量47㎜、無痛開口量35㎜。開口時と咀嚼時に、左側顎関節に一過性の鈍痛と左顎関節に大開口時無痛性クリックが認められた。両側咬筋に軽度の圧痛がみられた。
検査所見:白血球;5,080/μL、CRP;0.034 ㎎/dL、CK;65 IU/L
画像所見: MRIのT2WIで、左側顎関節上関節腔において高信号領域のなかに複数の低信号領域が散見された。CT像では下顎頭の変形や滑膜肥厚は認めず、石灰化を伴う病変もみられなかった(図❶❷)。
Q 最も疑われる疾患名は?
![歯科医療従事者のための専門メディア : Dental Diamond[デンタルダイヤモンド]](https://dental-diamond.jp/pages/wp-content/uploads/2022/05/cropped-名称未設定d.png)





















① 顎関節滑膜性
骨軟骨腫症
② 顎関節炎
③ 多発性筋炎
④ 変形性顎関節症