野間 昇 Noboru NOMA
日本大学歯学部 口腔内科学講座


患者:50歳、男性
主訴:左顔のしびれ
現病歴:2ヵ月ほど前から左側顔面のしびれを自覚。その後、左側の舌にも広がり、1ヵ月ほど前から手に腫脹が出現し、左右の顔面全体へと広がってきたため当科を受診した。
既往歴:高尿酸血症、喘息
現症:
口腔外所見;顔面腫脹や開口障害は認められなかった。左側顔面の感覚鈍麻および手指の腫脹、両側顎下リンパ節の腫脹がみられた(図1)。精密触覚検査では左側顔面皮膚で2.0g、右側顔面皮膚で0.4gであった。
口腔内所見;歯肉発赤、腫脹など異常所見はみられなかった(図2)。
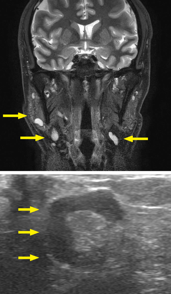
画像所見;MRI所見では、両側頸部リンパ節が複数腫脹している。超音波画像所見では著明な腫大を認めるが、門部構造は保たれている。
血液検査:白血球数は6,290/mm3、C反応性タンパク(CRP)は0.63mg/dLであった。抗核抗体(ANA)価は1:320を示し、抗RNP抗体が陽性であった。帯状疱疹ウイルス抗体価および単純ヘルペスウイルス抗体価はいずれも陰性であった。
Q 最も疑われる疾患名は?

① 骨髄炎
② 帯状疱疹
③ 多発性硬化症
④ 混合性結合組織病
\こちらの回答は月刊 デンタルダイヤモンド 2026年1月号に掲載中!/
▽月刊デンタルダイヤモンドのバックナンバーはこちら▽
https://www.dental-diamond.co.jp/list/103
▽診断力てすとのバックナンバーはこちら▽
https://dental-diamond.jp/test.html
![歯科医療従事者のための専門メディア : Dental Diamond[デンタルダイヤモンド]](https://dental-diamond.jp/pages/wp-content/uploads/2022/05/cropped-名称未設定d.png)
























月刊デンタルダイヤモンド誌に長年掲載され、読者の先生方に人気の「Dd診断力てすと」。
今回は2026年1月号より、「顔のしびれ」についてです。