小林 恒1) Wataru KOBAYASHI 鄭 明源2) Beng Gwan TEH
1)弘前大学大学院医学研究科 歯科口腔外科学講座
2)三沢市立三沢病院 歯科口腔外科


患者:78歳、男性
主訴:胃がん手術前の口腔ケア依頼
既往歴:高血圧症、脳梗塞後遺症、中等度認知症、脂質異常症。
内服薬:アムロジピンベシル酸塩、ドキサゾシンメシル酸塩、アスピリン、メマンチン塩酸塩、ベザフィブラート徐放錠。
家族歴:特記すべき事項なし
嗜好品:喫煙歴は20年前まで1日40本、現在禁煙。飲酒なし。
現病歴:胃がん手術のため消化器外科に入院となり、術前ケアの依頼で当科を紹介受診。患者は上下歯槽歯肉・口唇裏面の乳頭腫状隆起の自覚はしていなかった。
現症:全身所見として身長150㎝、体重50㎏と体格は小柄、栄養状態は不良であった。皮膚には異常所見は認めなかった。顔貌は左右対称で異常所見は認めない。
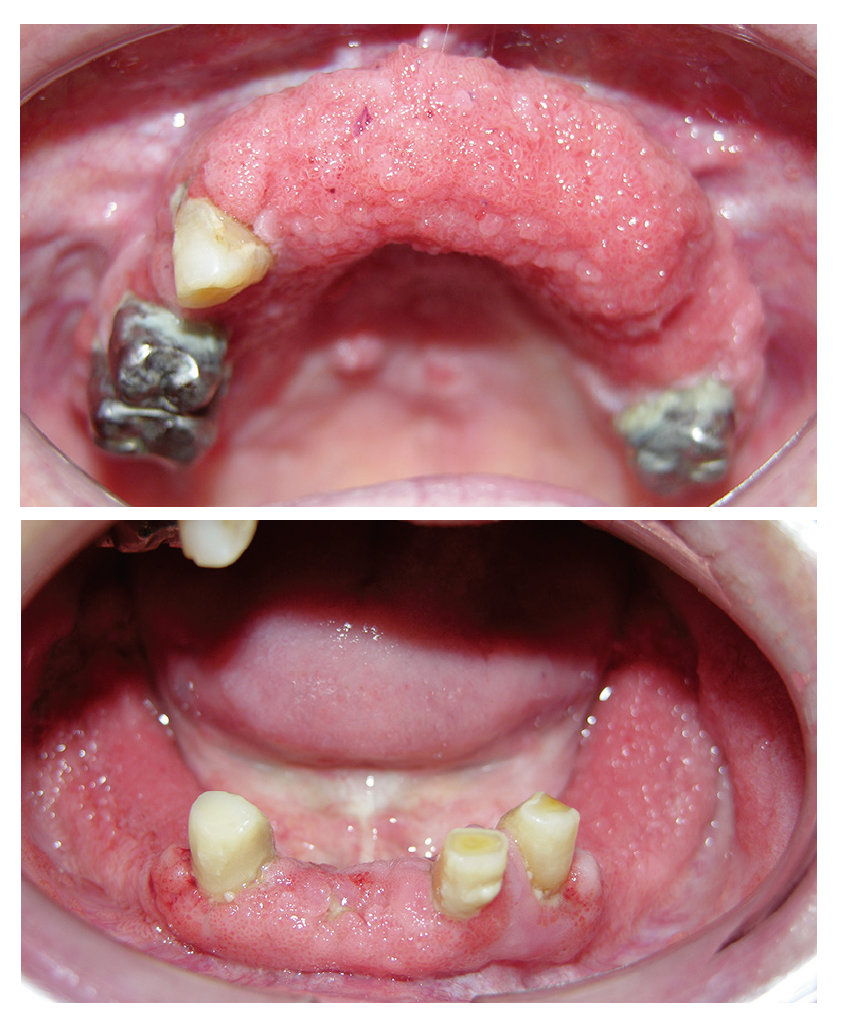
口腔内所見としては上顎犬歯間歯槽部、下顎全顎に及ぶ歯槽部、上唇内側粘膜に帯状で乳頭腫状に隆起した粘膜病変を認める(図1)。易出血性ではなく、圧痛などの症状もない。また、所属リンパ節の腫脹はない。
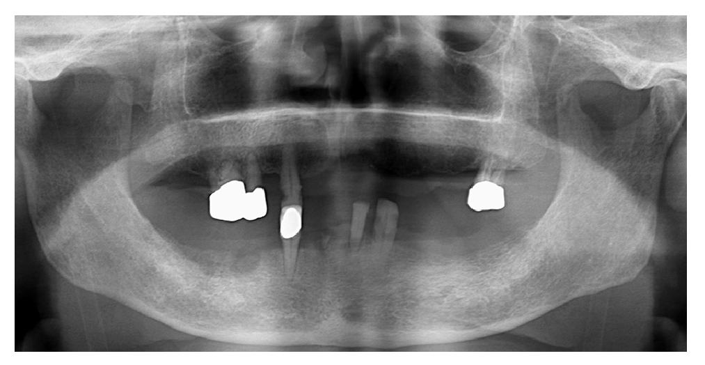
パノラマX線所見:病変に関連する顎骨内病変はない(図2)。
血液検査所見:腫瘍マーカー;CEA 2.9ng/mL(正常値5以下)、CA19-9 101.0 U/mL(正常値37以下)。
Q 最も疑われる疾患名は?

① 乳頭腫
② 口腔がん(扁平上皮がん)
③ エプーリス
④ 黒色表皮腫
\こちらの回答は月刊 デンタルダイヤモンド 2026年1月号に掲載中!/
▽月刊デンタルダイヤモンドのバックナンバーはこちら▽
https://www.dental-diamond.co.jp/list/103
▽診断力てすとのバックナンバーはこちら▽
https://dental-diamond.jp/test.html
![歯科医療従事者のための専門メディア : Dental Diamond[デンタルダイヤモンド]](https://dental-diamond.jp/pages/wp-content/uploads/2022/05/cropped-名称未設定d.png)
























月刊デンタルダイヤモンド誌に長年掲載され、読者の先生方に人気の「Dd診断力てすと」。
今回は2026年1月号より、「口腔内全体がブツブツしている」についてです。