有吉靖則 Yasunori ARIYOSHI
市立ひらかた病院 歯科口腔外科
〒573-1013 大阪府枚方市禁野本町2-14-1

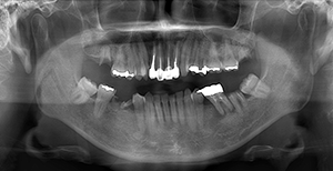
図❶ 初診時のパノラマX線写真
患者:51歳、男性
主訴:左側顔面の疼痛
既往歴:10年前より左難聴
現病歴:数年前より、食事や髭剃りの際に左側側頭部、頬部から口角部に疼痛を感じることがあった。当科初診の2週間ほど前より疼痛の持続時間が長くなり、5日前から激烈な鋭痛を感じるようになった。歯科を受診したところ、精査目的にて当科を紹介された。
現症:顔貌は左右対称で、顎顔面領域に知覚異常は認められなかった。左側下顎頭、側頭筋、咬筋、頸部領域に腫脹、圧痛はなかったが、左側口角部に触れると激痛が誘発された。開口障害は認められなかった。
左側上下顎に処置を要する歯を複数認めたが、冷水痛、温水痛、打診痛は認められず、歯肉の急性炎症も認めなかった。なお、夜間痛により目覚めることはなかった。
画像所見:パノラマX線写真にて左側上下顎に残根、根尖病巣を認めるが、下顎頭の変形、骨破壊像などは認められなかった(図❶)。
主訴:左側顔面の疼痛
既往歴:10年前より左難聴
現病歴:数年前より、食事や髭剃りの際に左側側頭部、頬部から口角部に疼痛を感じることがあった。当科初診の2週間ほど前より疼痛の持続時間が長くなり、5日前から激烈な鋭痛を感じるようになった。歯科を受診したところ、精査目的にて当科を紹介された。
現症:顔貌は左右対称で、顎顔面領域に知覚異常は認められなかった。左側下顎頭、側頭筋、咬筋、頸部領域に腫脹、圧痛はなかったが、左側口角部に触れると激痛が誘発された。開口障害は認められなかった。
左側上下顎に処置を要する歯を複数認めたが、冷水痛、温水痛、打診痛は認められず、歯肉の急性炎症も認めなかった。なお、夜間痛により目覚めることはなかった。
画像所見:パノラマX線写真にて左側上下顎に残根、根尖病巣を認めるが、下顎頭の変形、骨破壊像などは認められなかった(図❶)。
Q 最も疑われる疾患名は?
![歯科医療従事者のための専門メディア : Dental Diamond[デンタルダイヤモンド]](https://dental-diamond.jp/pages/wp-content/uploads/2022/05/cropped-名称未設定d.png)





















① 顎関節症
② 三叉神経痛
③ 持続性特発性顔面痛
④ 歯髄炎