田中茂男 Shigeo TANAKA
日本大学松戸歯学部 口腔外科学講座
〒271-8587 千葉県松戸市栄町西2-870-1


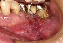
図❶ 初診時の口腔内写真

図❷ 初診時のパノラマX線写真
患者:75歳、男性
主訴:左下の歯肉が腫れて、下唇に痺れがある
既往歴:高血圧症、慢性閉塞性肺疾患、肝嚢胞
現病歴:数年前から下顎左側臼歯部歯肉の腫脹を繰り返していた。最近になり下唇左側の知覚鈍麻を自覚したため、歯科診療所を受診した。抗菌薬(セファレキシン)を14日間服用したが症状の改善がみられないため、当科に紹介受診となった。
現症:下顎左側臼歯部頬側歯肉に、発赤を伴うび漫性の膨隆を認めた。舌側歯肉に膨隆は観察されなかった(図❶)。触診にて45相当頬側歯肉に軽度の硬結を触知し、⑤⑥⑦ブリッジの支台歯である57は3度の動揺(Millerの方法による)であった。また、下唇左側に知覚麻痺を認めた。頬部および頸部に異常所見はみられなかった。
臨床検査所見:特記すべき所見なし。
パノラマX線画像所見:57は浮遊しており、その周囲骨は比較的辺縁明瞭であるが、一部虫食い状を呈する高度な骨吸収像を認めた(図❷)
主訴:左下の歯肉が腫れて、下唇に痺れがある
既往歴:高血圧症、慢性閉塞性肺疾患、肝嚢胞
現病歴:数年前から下顎左側臼歯部歯肉の腫脹を繰り返していた。最近になり下唇左側の知覚鈍麻を自覚したため、歯科診療所を受診した。抗菌薬(セファレキシン)を14日間服用したが症状の改善がみられないため、当科に紹介受診となった。
現症:下顎左側臼歯部頬側歯肉に、発赤を伴うび漫性の膨隆を認めた。舌側歯肉に膨隆は観察されなかった(図❶)。触診にて45相当頬側歯肉に軽度の硬結を触知し、⑤⑥⑦ブリッジの支台歯である57は3度の動揺(Millerの方法による)であった。また、下唇左側に知覚麻痺を認めた。頬部および頸部に異常所見はみられなかった。
臨床検査所見:特記すべき所見なし。
パノラマX線画像所見:57は浮遊しており、その周囲骨は比較的辺縁明瞭であるが、一部虫食い状を呈する高度な骨吸収像を認めた(図❷)
Q 最も疑われる疾患名は?
![歯科医療従事者のための専門メディア : Dental Diamond[デンタルダイヤモンド]](https://dental-diamond.jp/pages/wp-content/uploads/2022/05/cropped-名称未設定d.png)





















① 慢性化膿性骨髄炎
② 歯肉癌(扁平上皮癌)
③ 重度慢性歯周炎