山中茂樹 Shigeki YAMANAKA
中尾一祐 Kazumasa NAKAO
京都大学大学院医学研究科
感覚運動系外科学講座 口腔外科学分野


図❶ 初診時の口腔内写真
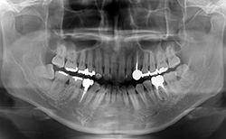
図❷ 初診時のパノラマX線写真
患者:37歳、男性
主訴:右側上顎歯肉の腫瘤
現病歴:2018年1月に多発転移した直腸がんの化学療法を目的に入院。口腔ケア、口腔感染源の精査目的に当科を紹介され受診した。口腔ケア中に、急速に増大する口腔内の腫瘤を認めた。これまで、口腔内に同様の症状を認めた既往はなかった。
既往歴:直腸がん(肝転移、肺転移、リンパ節転移を認めた)
全身所見:体格中等度、栄養状態は良好。発熱などの全身症状は認めなかった。
口腔外所見:顔貌は左右対称、頸部にリンパ節腫大は認めなかった。
口腔内所見:32口蓋歯肉に、拇指頭大で有茎性、表面白色のびらんを伴う腫瘤を認めた(図❶)。硬結は触知しなかった。
画像所見:パノラマX線写真(図❷)にて、32周囲骨に骨吸収など、あきらかな異常所見を認めなかった。
細胞診所見:出血性で多数の細菌と扁平上皮細胞が採取されており、軽度の核腫大と輝度の高い角化細胞を少数認めた。あきらかな悪性所見は認めなかった。
Q 最も疑われる疾患名は?
![歯科医療従事者のための専門メディア : Dental Diamond[デンタルダイヤモンド]](https://dental-diamond.jp/pages/wp-content/uploads/2022/05/cropped-名称未設定d.png)





















① 歯肉炎
② 膿原性肉芽腫
③ 歯肉がん
④ 線維腫