自験例は、X線異常像の精査・加療を目的に当科を受診した症例である。初診時および過去においても、患者はX線異常像を認める5部に疼痛や腫脹などの症状は自覚しておらず、他覚的な臨床所見にも乏しかった。画像所見から、歯原性腫瘍あるいは慢性炎症の可能性を指摘し、歯牙を含めた病変の摘出を計画した。
抜歯および周囲病変部の摘出を局所麻酔下に行った。鉗子にて
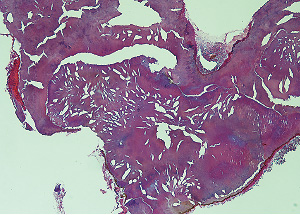
を抜歯後、周囲の肉芽様組織の掻爬を行った。大小さまざまな複数の茶褐色の硬固物が歯根に付着していた(図❸❹)。抜歯窩骨面は正常で、上顎洞への交通なども認めなかった。摘出物は、病理組織検査に提出し、炎症性肉芽組織および歯石との診断を得た(図❺)。
本症例のようなX線像から通常考えられる疾患としては、骨髄炎や石灰化物を伴う腫瘍が挙げられる。結果的には、日常歯科診療で頻繁に遭遇する歯周炎に伴う歯石沈着であったが、専門医療機関への紹介により円滑な治療・確定診断を得ることができた。

図❸ 術中写真、5抜歯窩

図❹ 抜去歯牙と摘出した硬固物

図❺ 病理組織写真(×100)
![歯科医療従事者のための専門メディア : Dental Diamond[デンタルダイヤモンド]](https://dental-diamond.jp/pages/wp-content/uploads/2022/05/cropped-名称未設定d.png)




















4.歯石