診断と経過
45部局部床義歯の適合状態は良好であり、ステロイド含有軟膏の使用でも効果を認めなかったこと、潰瘍周囲に硬結を触知しなかったことから、臨床的にMTXによる薬剤性潰瘍を疑った。念のため細胞診を施行したが、判定はClass II(正常あるいは良性)で悪性腫瘍は否定された。内科主治医にMTXの減量あるいは中止を依頼した。
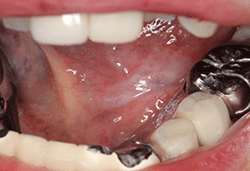
MTXを減量、プレドニゾロンは8mgに増量された。その結果、3週間後には潰瘍は上皮化し、痛みも消失した(図❷)。
【鑑別診断】
薬剤性潰瘍
固定薬疹型の病変として、口腔粘膜に1個あるいは複数個の比較的大きな潰瘍を生じ、表面が平坦できれいな潰瘍面を示す。潰瘍周辺の粘膜がわずかに隆起することがあるが、硬結を触知することはない。潰瘍を生じる薬剤としては抗菌薬、NSAIDs、降圧薬、胃潰瘍治療薬、β遮断薬、血圧降下薬など多くの種類が挙げられる。MTXは抗がん剤の一つであり、免疫抑制作用、抗炎症作用があることからリウマチの治療薬として広く使われている。薬剤による潰瘍は臨床的には褥瘡性潰瘍と最も類似している。病理組織学的には炎症組織であり、特異的な所見はない。ステロイド含有軟膏の使用はほとんど効果がない。外科的に切除を行っても、同一部位に再発する。原因薬剤の減量あるいは中止により、比較的早期に改善する。

図❷ MTXの減量後3週間で潰瘍は上皮化した
褥瘡性潰瘍
不適合の義歯やクラウン・ブリッジ、歯の鋭縁部による機械的刺激が原因で生じる。大小さまざまな潰瘍を呈するが、潰瘍面は平坦であり、一般に周囲に硬結は触知しないが、慢性化すると周囲が線維化して硬くなることがある。
本症例は歯の形態や萌出の異常はみられず、成人以降に発症した軽症型症例と推察された。成人以降に発症した症例では、過去に抜歯後のトラブルがみられなくても、難治性の顎骨骨髄炎が生じるリスクがあり、注意が必要と考えられる。
再発性アフタ
米粒大または大豆大の円形、あるいは類円形の浅い潰瘍で、潰瘍面は白色または灰白色の偽膜に覆われており、周囲は紅暈で囲まれている。最初に小さな紅斑を生じ、次いで典型的な円形の潰瘍を形成し、接触痛が強くなる。この痛みは4~5日続き、1週間から10日で上皮化する。潰瘍の周囲に硬結は伴わない。
口腔がん
初期には紅斑、白斑、びらんとして生じる。進展するに従い、外向性の腫瘤や深い潰瘍を形成する。潰瘍面は肉芽状、顆粒状を呈し、白色の壊死組織を伴う。易出血性で接触痛が強く、また周囲には硬結を触知する。
![歯科医療従事者のための専門メディア : Dental Diamond[デンタルダイヤモンド]](https://dental-diamond.jp/pages/wp-content/uploads/2022/05/cropped-名称未設定d.png)





















3.薬剤性潰瘍