●東海大学医学部口腔外科学教室 佐々木次郎 + 山崎浩史
嚢胞形成の腫瘍

腹部大動脈瘤

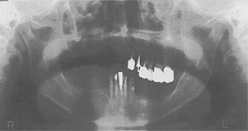
図❶
1998年9月に湯河原の歯科医師、金子 薫先生の、右下顎に嚢胞形成性の腫瘍があるという紹介状を持って来院された76歳の男性。パントモグラフのようにcystic diseaseがある(図❶)。佐々木先生が外来の担当で、この患者さんが手術のため入院され、山?が担当となった。
Contents
◆◆◆ 腹部大動脈瘤の発見と経過 ◆◆◆
患者さんはスリムで体重40kg、頭脳が明敏で応答ははっきりしている。主治医の内科医師から、「毎月拝見しているが、気管支喘息でネオフィリンを投与していることと、不眠クリニックからサイレースが投与されている」という情報をいただいた。眼科医師からは、「白内障と緑内障は点眼薬でコントロールできている」という情報をいただいた。
当科外来での血液検査では、血小板が7万と少ないのが気になるが、その他に異常所見はない。血小板減少について内科主治医に問い合わせをしたところ、その先生が診はじめて以来2年間ずっと少ないということで、近時にITP(特発性血小板減少性紫斑病)に罹患したのではないことがわかった。血液化学にはとくに異常はなかった。

血小板の7万が気になって血液内科に受診依頼をしようかと考慮していたが、オーベンの佐々木、金子先生は、「全身麻酔で短時間での開窓をしよう」というので、手術申込書を提出した。研修医の森君が病室へアナムネをとりにいって、「山崎先生、腹部に大きな腫瘤があります。拍動を触れます。大動脈瘤ではないでしょうか」という。森君の言うとおりの状況であるが、患者さんは自覚していなかった。
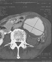
腹部のCTは図❷のとおりで、大きな大動脈瘤があり、心血管外科に依頼した。破裂する危険があるので至急手術をしますとの返事。この説明に、患者さんは立派な人物で、「重要な病気をみつけていただき、ありがとうございました」と礼を言われた。小出教授の執刀で人工血管置換の大手術が行われた。術後の経過はきわめてよく、1ヵ月後には口腔外科の病棟に転棟し、顎骨の腫瘍の手術をした。病理診断は歯原性嚢胞であった。
◆◆◆
佐々木先生は森研修医を呼んで、患者さんを裸にして術前のアナムネをとったことをほめていたが、森君は「いつもやっていることです」と答えていた。私(山崎)は、うれしいと思うと同時に、研修医を教育するチーフ・レジデントとしての責任を痛感した。
患者さんは腹部大動脈瘤の術後も、顎骨腫瘍の術後もともに経過はよく、術後8ヵ月の現在は1ヵ月に1回の定期診査に元気で通院している。紹介医の金子先生とは現在でも連絡をとりあっている。
![歯科医療従事者のための専門メディア : Dental Diamond[デンタルダイヤモンド]](https://dental-diamond.jp/pages/wp-content/uploads/2022/05/cropped-名称未設定d.png)





















コメントを残す